Smile Gallery
We create healthy and beautiful smiles. We know that many of our patients want to look their best in addition to being healthy. Please browse some of our before and after photos and see what is possible with excellent dentistry.
This patient drove from Missouri to our practice wanting options to improve her smile. She was referred by a family friend who we had recently finished enhancing their smile. She said, “ I always feel like the spaces in my front teeth make my smile unattractive, and it makes me not smile as much”.
After discussing her case and going over different options, we chose cosmetic bonding (this is where we roughen the tooth surface and bond tooth-colored resin material to them to close the spaces and make the teeth an ideal shape). We then used dental bleaching to brighten her ...
Notice that this patient had severe decay at the gumline. Dr. Bartels cleaned out the decay and used bonding material to restore the appearance of the teeth for dramatic results.
This patient had several teeth that had chipped. Dr. Bartels used anterior crowns to give the patient a very natural looking smile.
Our patient had some decalcification and other issues. Dr. Bartels used all porcelain crowns to give the patient a healthy, beautiful smile!
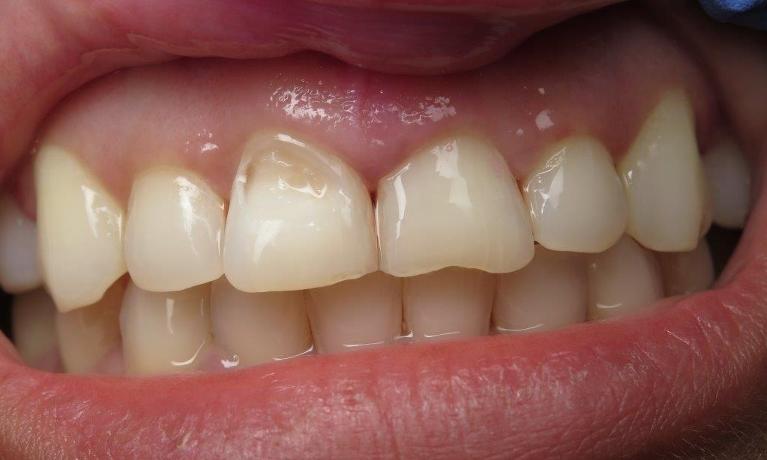
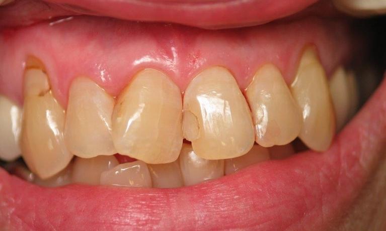
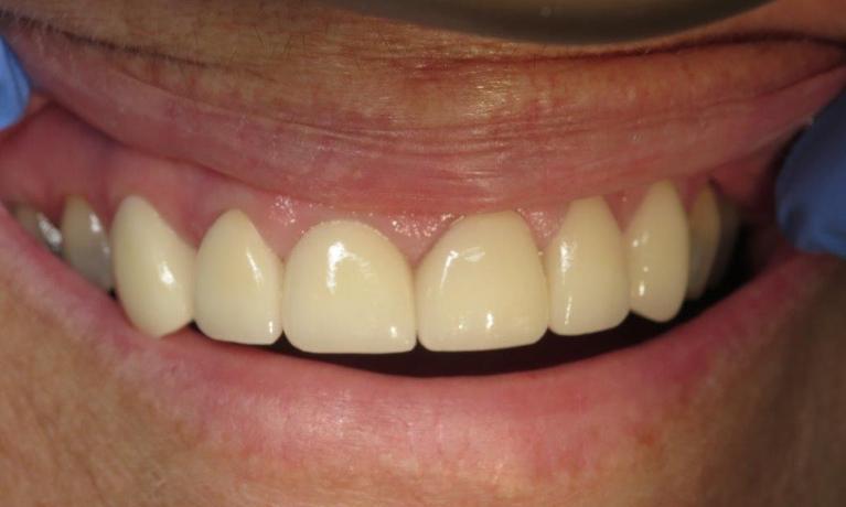
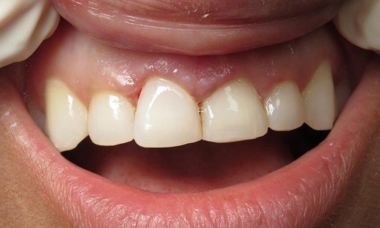
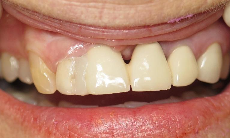
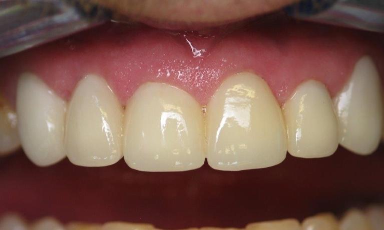
Patient came in with a broken front tooth. We placed a bonded veneer to repair the tooth.
Patient had worn, yellow, and uneven teeth. Dr. Bartels gave the patient a full smile makeover by placing all porcelain crowns.
Patient had an old, sliver filling with cracks and leakage. We removed the filling and cavity and replaced it with a new tooth colored filling.
This was an extra small tooth with spaces around it. Dr. Bartels added tooth colored bonding to enlarge the tooth and close the spaces.
Patient had yellow teeth with space between the front teeth. After bleaching, we closed the space with tooth colored bonding.
This patient had space between the front teeth. We place tooth colored bonding to close the space.
Patient's teeth were crooked and yellow. Dr. Bartels decided to do a combination of veneers and crowns to give her a healthy, beautiful smile.
Our patient had broken, worn, and yellow teeth. Dr. Bartels used all porcelain crowns to give the patient a youthful, beautiful smile!
With a decaying tooth and another one broken, this patient needed a smile makeover. We used veneers to restore the patients teeth to health.
This patient had heavy staining from years of smoking. We were able to use all porcelain crowns for a great result.
Our patient had old, uncomfortable dentures. Using new state-of-the-art technology, we were able to give this patient brand new beautiful dentures that look amazing when she smiles!
This patient had a spacing problem called a diastema. We were able to use bonding with composite in one office visit the give the patient dramatic results.
This patient had old crowns, discolored, and worn teeth. Dr. Bartels used a combination of all porcelain crowns and veneers to give this patient something to smile about.
This patient had uneven gums and lots of discoloration from old crowns. We were able to provide the patient with a great smile with new crowns.
This patient had a diastema, which is a correctable dental spacing problem. Dr. Bartels used bonding to correct the issue. All it took was ONE VISIT!
Malalignment and stained teeth were the primary issues here. We used a combination of all porcelain crowns and veneers to create a dramatic result! No long does this patient have to suffer with a discolored smile. Call the office of Anthony Bartels, DDS, located in Jonesboro, to schedule your appointment.
This patient had broken teeth, spaces, and discolored teeth. Through the use of porcelain crowns we were able to restore this patient's bite to full function and give him a healthy mouth. Now the patient is able to smile with confidence knowing there are no more gaps in his smile. Call our Jonesboro dental office today to schedule your consultation.
This patient had a spacing issue which is a very common problem that is easily fixed. Dr. Bartels used bonding on this patient. Bonding is less expensive than crowns and veneers and can often be used for minor spacing issues in one visit! Call our Jonesboro dental office today to schedule a consultation!
Our patient had old crowns that needed to be replaced. Dr. Bartels used all porcelain crowns to give the patient a fabulous new smile! If you are looking to get a dental crown in the Jonesboro area, call the office of Anthony Bartels, DDS at (870) 923-9911.
This patient had chipped a tooth. Dr. Bartels used bonding to repair the tooth. Bonding can often be done in one appointment and can make a huge difference on the appearance of many cosmetic issues. Book your consultation in Jonesboro today, call (870) 932-991.
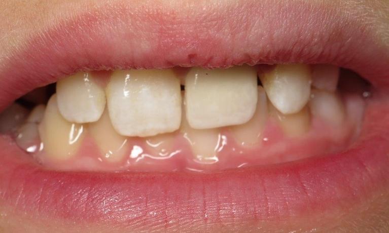
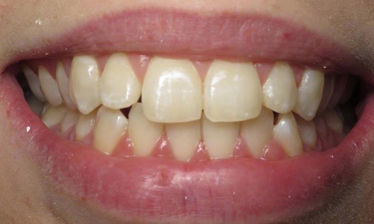
This child had a sports injury. Dr. Bartels used an all porcelain crown to repair the tooth. Attention to detail gave this child a very natural result as he continues to grow! If you are looking for childrens dentistry in the Jonesboro area, call the office of Anthony Bartels, DDS today!
This patient was unhappy with their smile. Through the use of dental bonding and veneers, we were able to improve the color and shape of this patients teeth. If you would like to schedule your consultation in our Jonesboro, Ar dental office call (870) 932-9911 today!